Quando si pensa agli incisivi, la prima immagine che viene in mente è legata all’estetica del sorriso: denti armoniosi, proporzionati e luminosi.
Ma la funzione dei denti anteriori va ben oltre la bellezza: la loro corretta lunghezza e posizione sono fondamentali per la salute di tutta la bocca e dell’articolazione temporomandibolare.
La guida anteriore: il “parafango” naturale dei denti posteriori
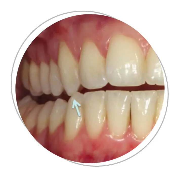
Gli incisivi e i canini anteriori svolgono un ruolo cruciale nel guidare i movimenti della mandibola. Questo meccanismo, chiamato guida anteriore, ha la funzione di:
- Proteggere i denti posteriori durante i movimenti di lateralità e protrusione, evitando contatti eccessivi e usure premature.
- Stabilizzare l’occlusione, distribuendo le forze masticatorie in modo equilibrato.
- Salvaguardare l’articolazione temporomandibolare (ATM), prevenendo tensioni e sovraccarichi che possono generare dolore, rumori articolari o limitazioni nei movimenti.
Quando gli incisivi sono troppo corti, consumati o malposizionati, la guida anteriore perde efficacia.
Il risultato? I denti posteriori si trovano a sopportare forze per le quali non sono progettati, aumentando il rischio di:
- Fratture e usura eccessiva.
- Sensibilità dentale dovuta all’esposizione della dentina.
- Recessioni gengivali legate a traumi occlusali cronici.
- Lesioni da abfraction, microfratture dello smalto a livello cervicale causate da stress meccanico.
Disturbi articolari e muscolari a carico dell’ATM.
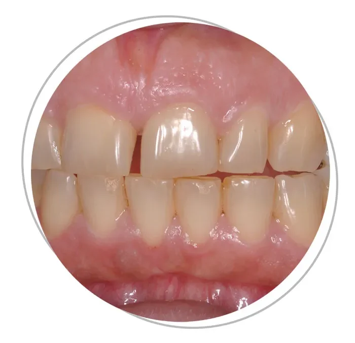
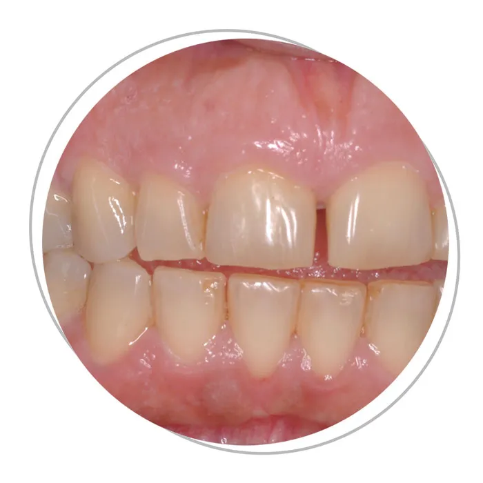
Perché accorciamento e usura degli incisivi sono così frequenti
Le cause più comuni includono:
- Bruxismo e serramento notturno o diurno.
- Malocclusioni o movimenti dentali non controllati.
- Erosione acida dovuta a dieta o reflusso gastroesofageo.
- Traumi o fratture dentali pregresse.
Le soluzioni moderne: funzione e bellezza senza sacrifici
Oggi la tecnologia odontoiatrica ci permette di ripristinare la guida anteriore in modo minimamente invasivo, indolore e altamente estetico, combinando competenze e strumenti avanzati:
- Ortodonzia con allineatori trasparenti
Permette di riposizionare i denti anteriori nella corretta posizione funzionale ed estetica, senza attacchi metallici e con la massima comodità. - Additional Veneers
Ultra-sottili faccette additive in ceramica che ricostruiscono forma e lunghezza dei denti senza limare lo smalto naturale.
Nel nostro studio vantiamo una delle esperienze più consolidate in Italia in questa tecnica, con pubblicazioni scientifiche e collaborazioni con maestri ceramisti (Oral Designers) per ottenere un’estetica perfettamente naturale. - Ricostruzioni con tecnica indiretta
In composito o ceramica, ideali per ripristinare la struttura dentale in caso di usura avanzata, garantendo resistenza e precisione.
Prevenzione e benessere a lungo termine
Ripristinare la guida anteriore non è solo un intervento estetico: significa proteggere i denti posteriori, preservare la funzionalità masticatoria e prevenire disturbi dell’ATM, recessioni gengivali e lesioni cervicali da abfraction.
Un corretto equilibrio occlusale migliora la qualità della vita, riduce i rischi di fratture dentali e assicura un sorriso sano e stabile nel tempo.
Studio Gellini: uniamo scienza, arte e tecniche minimamente invasive per riportare armonia al sorriso e alla funzione, senza dolore e senza compromessi.

Commenti recenti