Cari pazienti e amici.
Oggi desideriamo approfondire una condizione dentale spesso discussa: il Granuloma Apicale: cosa e come curarlo. È fondamentale comprendere questa patologia e le opzioni di trattamento disponibili per garantire la salute a lungo termine del vostro sorriso.
🤔 Granuloma Apicale: cosa è e come curarlo?
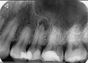
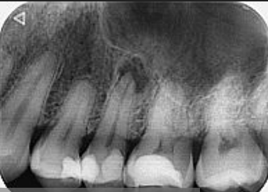
Il granuloma apicale è una reazione infiammatoria che si sviluppa all’apice delle radici dei denti a seguito di un’infezione. Questo può verificarsi quando i batteri penetrano nel sistema canalare, causando irritazione e la formazione di un granuloma, una sorta di massa infiammatoria.L’infiltrazione batterica può verificarsi come conseguenza di una lesione cariosa o in seguito alla morte del nervo per traumatismo, usura, erosione. Ancora batteri possono colonizzare il sistema canalare di un dente incapsulato quando il cosiddetto sigillo coronale viene meno, ossia quando la corona protesica si decementa lasciando entrare i batteri all’interno del dente.
👩⚕️ Il Nostro Approccio alla Cura del Granuloma Apicale:
Il granuloma essendo una lesione infiammatoria cronica non dà praticamente sintomi. In alcuni casi l’unico sintomo potrebbe essere una lieve dolenzia alla palpazione in corrispondenza dell’apice del dente coinvolto. Affidarsi dunque ai sintomi per far diagnosi non è dunque la soluzione migliore.
- Diagnosi Precisa: Una diagnosi accurata è il primo passo cruciale. Presso il nostro studio dentistico, utilizziamo moderne tecniche di imaging, come la radiografia digitale, per esaminare attentamente l’area coinvolta e identificare la presenza di granulomi apicali. La tc cone beam rappresenta un’indagine radiologica 3D ad alta definizione che consente di individuare granulomi anche laddove le tradizionali rx endorali dovessero fallire.
- Trattamenti Conservativi: In molti casi, i granulomi apicali possono essere trattati con successo attraverso il trattamento endodontico o terapia canalare. Questa procedura prevede la rimozione dell’otturazione precedente, la pulizia del sistema canalare e la sigillatura accurata per eliminare l’infezione. Il ritrattamento rappresenta sempre la prima scelta e l’utilizzo del microscopio operatorio risulta fondamentale per garantire un risultato ottimale e minimamente invasivo.
- Chirurgia Endodontica: In situazioni più complesse, potrebbe essere necessario un intervento chirurgico endodontico. Questa procedura, detta apicectomia, coinvolge l’accesso diretto all’apice radicolare per rimuovere il granuloma e sigillare in modo permanente il sistema canalare. Questa soluzione viene adottata quando perni canalari e corone protesiche rendono troppo invasivo un approccio non chirurgico. Anche in questo caso l’utilizzo del microscopio operatorio. rappresenta una garanzia di minima invasiva e risultato.
- Monitoraggio Post-Trattamento: Dopo qualsiasi procedura, è fondamentale monitorare attentamente il progresso e garantire il successo del trattamento. Ulteriori follow-up e radiografie periodiche ci consentono di assicurarci che il granuloma si risolva completamente.
⚠️ L’Importanza della Pronta Azione:
Affrontare tempestivamente un granuloma apicale è essenziale per prevenire complicazioni future quali ascessi dentali, formazione di cisti periapicali o perdita dell’elemento dentario in caso di evoluzione verso lesioni endoparodontali. Il ritrattamento endodontico e la chirurgia endodontica offrono soluzioni efficaci quando gestite da professionisti esperti come il nostro team.
🌟 Il Nostro Impegno per la Vostra Salute Dentale:
Presso il nostro studio
, ci impegniamo a fornire cure personalizzate, avanzate e mirate per garantire il vostro benessere dentale. Siamo qui per rispondere alle vostre domande, discutere delle vostre preoccupazioni e guidarvi lungo il percorso di un sorriso sano e radiante.
Non esitate a contattarci per prenotare una visita o per ulteriori informazioni sulle opzioni di trattamento disponibili per il granuloma apicale. Il vostro sorriso è la nostra priorità!
Grazie per la vostra fiducia,



Commenti recenti